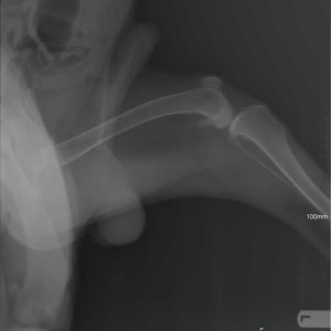
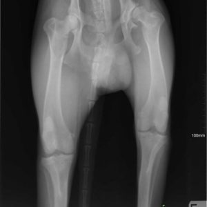
Vielen Dank an Alexander Englert, dass er möglich gemacht hat für Mex , seine Hüft- Dysplasie – Operation zu finanzieren. 🙂 Noch zweieinhalb Monate Rehabilitation und wir können eine neue Familie suchen für Mex! 🙂 Kategorie: NewsVon Csillag Alexandra2017-09-14 Share this post Share on FacebookShare on Facebook Share on XShare on X Autor: Csillag Alexandra http://www.ebarvahaz.hu KommentarnavigationZurückVorheriger Beitrag:Lola – Eine kleine wunder!NächstesNächster Beitrag:Vielen Dank Mirabella Hesz für die Spenden!Related postsTamara und ihre 7 kleinen Babys2026-01-13Hallo Mangó!2026-01-09Hallo unsere Lieben!2026-01-08Unsere neuesten Bewohner sind angekommen!2025-07-11Bözse <32025-04-10Überraschung2025-01-29