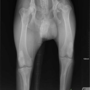
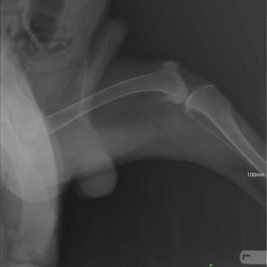
Köszönjük szépen Alexander Englert-nek, hogy Mex diszplázia műtéti költségét finanszírozta! Még 2 és fél hónap rehabilitáció és kereshetünk neki új gazdit! Category: HírekBy Csillag Alexandra2017-09-14 Share this post Share on FacebookShare on Facebook Share on XShare on X Author: Csillag Alexandra http://www.ebarvahaz.hu Post navigationPreviousPrevious post:SnowNextNext post:Közeleg a tél!Related postsPályázati eredmény2026-03-17Tami és a babák2026-01-22Cuki újoncaink2025-10-27IV. TÖKéletes nap az EbÁrvaházban2025-10-17Kutyás családi és nyílt nap a Kraft SE szervezésében2025-09-01Karamell kisgengszter berobbant a menhely életébe <32025-08-05